症状・病気ごとのご案内
長引く咳、息切れ、いびき、鼻症状、禁煙のご相談など、気になる内容から詳しいページをご覧いただけます。
大神内科クリニックは、福岡市早良区高取の呼吸器内科・内科・アレルギー科です。
長引く咳、喘息、COPD、睡眠時無呼吸症候群などの呼吸器疾患を中心に、高血圧・脂質異常症・糖尿病などの生活習慣病にも対応しています。
原則15歳以上の方を対象に、学生・働く世代・高齢の方まで幅広く診療しています。完全予約制で、必要に応じて肺機能検査、FeNO、胸部X線、睡眠時無呼吸の簡易検査、採血などを行っています。
内科
高血圧、脂質異常症、糖尿病、高尿酸血症などの生活習慣病治療にも対応しています。
呼吸器疾患で通院中の方が、あわせて血圧や血糖、コレステロールの管理を受けたいというご相談も多く、継続して診ています。
食事療法・運動療法も含め、無理なく続けやすい管理を大切にしています。
また、睡眠時無呼吸症候群の方は、高血圧や糖代謝異常を伴うこともあるため、全身管理の視点で診療しています。
予防接種のご案内
当院では、成人を中心とした各種予防接種に対応しています。呼吸器内科・内科としてご相談の多いものを中心にご案内しています。
接種できるワクチンの種類や制度の対象、取り寄せの要否は、年度や時期によって変わることがあります。接種をご希望の方は、事前のお問い合わせ・ご予約をお願いいたします。
特にご相談の多い予防接種
そのほかご相談の多い予防接種
ご予約について
ワクチンの種類によっては、事前の取り寄せや制度対象の確認が必要です。接種歴が分かるものがあれば、母子手帳や接種記録をご持参ください。
公費・助成の対象かどうかは、年齢や過去の接種歴によって変わることがあります。詳細は事前にお問い合わせください。
健診のご案内
当院では、福岡市の特定健診・よかドック、各種就業時健診、歯科医師健診、各種国家試験・免許申請時の診断書作成などに対応しています。
健診の内容や提出書類によって必要な検査項目が異なるため、健診はネット予約に対応しておりません。お電話でご予約をお願いいたします。
費用の目安
健診の内容によって費用は異なりますが、採血なしの健診は5,000円台、採血ありの健診は8,000円台が目安です。
福岡市の制度健診、就業時健診、診断書作成を伴う健診など、内容によって必要項目や費用が異なります。
正確な金額は、必要な健診項目や提出書類を確認したうえでご案内します。
呼吸器内科ならではの自費オプション
長引く咳、喘息が心配な方、喫煙歴があり肺機能が気になる方、健診では分からない気道や呼吸機能の状態を見たい方に、自費オプションとして追加できます。
健診の追加項目としてのご案内です。症状がある方は、通常診療での評価をご案内することがあります。
ご予約について
健診はネット予約ではなく、お電話でご予約をお願いいたします。 健診の内容や提出書類によって必要な検査項目が異なるため、事前確認が必要です。
指定用紙がある場合は、ご予約時にあわせて内容をご確認ください。
健診費用は改定されることがあります。最新の内容は、お問い合わせ時またはご予約時にご確認ください。
当院で可能な主な検査
当院では、長引く咳、喘息、COPD、睡眠時無呼吸症候群、花粉症・アレルギー性鼻炎、高血圧・糖尿病などの診療に必要な検査を行っています。
症状や経過に応じて、問診・診察を重視しながら、必要な検査を組み合わせて総合的に判断しています。
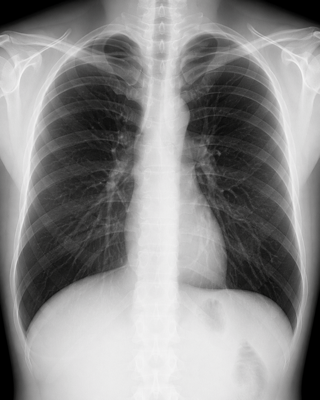
胸部X線検査
胸部のレントゲン検査です。肺炎、気胸、胸水、心拡大などの評価に加え、長引く咳や息苦しさの原因検索にも用います。喘息が疑われる場合でも、他の呼吸器疾患が隠れていないか確認するために行うことがあります。必要に応じて、副鼻腔や腹部などの撮影にも対応します。

呼気一酸化窒素検査(FeNO)
吐いた息に含まれる一酸化窒素を測定し、好酸球性気道炎症の程度をみる専門的な検査です。喘息の評価や吸入治療の反応判定に役立ち、長引く咳がある方で喘息や咳喘息が疑われる場合にも有用です。

アレルギー検査
花粉症、アレルギー性鼻炎、喘息などが疑われる場合に、必要に応じて血液検査を行います。スギ、ヒノキ、ダニ、ハウスダストなどの吸入アレルゲンを中心に確認し、症状の出る時期や生活環境、他の検査結果とあわせて評価します。なお、アレルギーの診断は検査だけで決まるものではなく、問診や経過が重要です。

簡易型睡眠時無呼吸検査
ご自宅で行う簡易検査です。いびき、睡眠中の無呼吸、日中の眠気、起床時の頭痛などがある方に行っており、結果に応じてCPAP治療を含めた睡眠時無呼吸症候群の診療につなげています。

血液検査・尿検査
末梢血、CRP、HbA1c、血糖、尿検査など、院内で当日すぐに確認できる項目があります。その他の生化学検査や詳しいアレルギー検査などは外部検査機関へ依頼し、後日結果をご説明します。
心電図検査
不整脈や虚血性変化などの評価のために行う検査です。動悸、胸部不快感、息切れがある場合や、高血圧などの生活習慣病管理の一環として行うことがあります。

感染症迅速検査
発熱、咽頭痛、咳などの症状がある場合に、必要に応じて行います。主にインフルエンザ、COVID-19、溶連菌などに対応しており、どの検査を行うかは症状や診察所見をもとに判断します。マイコプラズマ、アデノウイルスなどは、流行状況や在庫状況により対応できない場合があります。

検査についてのご案内
どの検査が必要かは、症状や経過によって異なります。初診時はまず問診と診察を行い、必要に応じて検査をご案内しています。
なお、時間帯によっては当日に行いにくい検査もありますので、長引く咳や喘息の評価をご希望の方は、できるだけ余裕のある時間帯での受診をおすすめします。
